C’est l’histoire d’une femme droitière qui, à l’âge de 42 ans, fait un accident vasculaire cérébral massif à la suite d’un accident de voiture. L’AVC provoque une hémiplégie droite, une déviation du regard et un état de conscience altéré.
Les médecins diagnostiquent une occlusion de la carotide interne gauche, responsable d’un défaut de perfusion dans tout le territoire de l’artère cérébrale moyenne. L’accident étant survenu bien avant qu’on puisse connaître l’heure exacte des premiers symptômes, la patiente est hors délai pour bénéficier d’un traitement thrombolytique visant à dissoudre le caillot ou d’une thrombectomie mécanique destinée à l’extraire. La fenêtre thérapeutique est dépassée. À l’hôpital, elle reçoit du mannitol pour limiter l’œdème cérébral. Son score initial à l’échelle NIHSS, qui évalue la sévérité des AVC, est de 13, ce qui correspond à un AVC sévère.
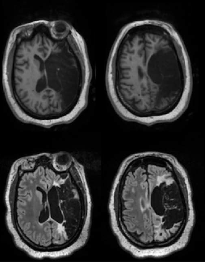
Les mois passent, puis les années. Lorsque cette patiente est réévaluée cinq ans plus tard, soit 61 mois après son AVC, les images de l’IRM cérébrale sont sans appel : une zone de 432 cm³ est détruite, soit une portion très importante du volume d’un cerveau humain, estimé à environ 1 100 cm³ chez la femme. L’encéphalomalacie, littéralement le ramollissement cérébral, touche les régions frontale, temporale et pariétale gauches et correspond aux territoires de l’artère cérébrale moyenne et de la portion postérieure de l’artère cérébrale antérieure.
Son score NIHSS est alors de 10. Elle présente une hémiplégie droite, une perte de sensibilité du même côté et une hémianopsie droite, c’est-à-dire une amputation de la moitié droite du champ visuel.
Contre toute attente, la patiente ne présente aucune aphasie
Chez environ 92 % des droitiers, le langage est latéralisé dans l’hémisphère gauche. Malgré une lésion considérable dans cet hémisphère, celui qui traite typiquement le langage, cette femme n’a présenté aucune aphasie à la phase aiguë de son AVC, ni par la suite, selon ses proches.
Les examens réalisés 61 mois, puis 86 mois après l’AVC, ne révèlent toujours aucun trouble du langage. Aussi incroyable que cela puisse paraître, son score à la Western Aphasia Battery, un outil d’évaluation des capacités linguistiques, est de 99,2 sur 100. Dans une cohorte de 95 patients ayant eu un AVC du même côté, le score médian est de 87,5. Parmi les rares patients dont le score dépasse 93,8, tous avaient une lésion dont la taille est inférieure à la moitié de celle de cette patiente. De plus, l’exécution des gestes volontaires complexes, ce que les neurologues appellent la praxie, est intacte, comme en témoignent les résultats du test Apraxia Battery for Adults.
Ces résultats défient la logique. Dans l’immense majorité des droitiers (environ 92 %), l’hémisphère gauche est dominant pour le langage. Toute atteinte massive de cet hémisphère entraîne presque inévitablement une aphasie. Or rien de tel ne s’est produit chez cette femme, ni à la phase aiguë, ni cinq ans plus tard, ni même sept ans après.

Pour comprendre cette situation hors norme, les chercheurs réalisent une IRM fonctionnelle (IRMf), un examen permettant de visualiser les zones du cerveau activées pendant des tâches linguistiques. Chez cette patiente, l’IRMf révèle que le langage est entièrement traité dans l’hémisphère droit, notamment dans le gyrus frontal inférieur et dans les régions frontales. Son cerveau semble organisé en miroir de celui de la majorité des droitiers.
Localisation du langage dans I’hémisphère droit
Ce résultat est d’autant plus étonnant que cette femme a toujours été droitière, qu’elle n’a aucun antécédent suggérant une atteinte cérébrale dans l’enfance qui aurait pu pousser l’hémisphère controlatéral à compenser une lésion précoce et qu’aucun membre de sa famille n’est gaucher. Tout indique donc que cette organisation atypique était présente avant l’AVC et qu’il ne s’agit pas d’une réorganisation induite par celui-ci.
Mais ce n’est pas tout. Un AVC de l’hémisphère gauche peut aussi entraîner des troubles de l’attention ou de la cognition visuospatiale. Là encore, cette patiente déjoue les pronostics. Alors même qu’elle présente une perte de la moitié droite du champ visuel (hémianopsie droite), ses tests d’attention et de cognition visuo-spatiale sont normaux. Plusieurs évaluations montrent qu’elle se situe au même niveau que des individus en bonne santé.
Son cerveau droit gère aussi la praxie et la cognition visuospatiale
Elizabeth Chang et ses collègues du centre médical de l’université Georgetown (Washington), qui rapportent ce cas dans le numéro de décembre 2025 de Neurology, en arrivent à la conclusion suivante : chez cette femme, trois fonctions majeures – le langage, la praxie et les fonctions visuospatiales – sont toutes hébergées dans l’hémisphère droit.
Plus remarquable encore, aucune de ces fonctions n’est déficitaire après un AVC massif, car elles sont toutes localisées du côté indemne. Il s’agit d’une configuration fonctionnelle exceptionnelle.
Dans la très grande majorité des cas, chez un droitier, l’hémisphère droit ne gère pas le langage. Ainsi, en cas d’AVC droit, un droitier ne présente en général pas d’aphasie, puisque le langage reste préservé à gauche. Cependant, dans de très rares cas, certains droitiers deviennent aphasiques. C’est ce qu’on appelle l’aphasie croisée (crossed aphasia), une situation paradoxale dans laquelle le langage se trouve, de façon inattendue, dans l’hémisphère droit.
Chez cette patiente, la situation est exactement inverse : un AVC massif de l’hémisphère gauche n’a pas entraîné d’aphasie, car son langage se trouvait du côté droit. C’est une image en miroir de l’aphasie croisée, raison pour laquelle les auteurs parlent de crossed non-aphasia, littéralement une « non-aphasie croisée ».
Chez elle, le langage, la praxie et la cognition visuospatiale, au lieu d’être répartis entre les deux hémisphères ou concentrés à gauche, sont tous latéralisés à droite. Un seul hémisphère accomplit donc ce que les deux font habituellement. C’est ce qui rend ce cas clinique exceptionnel.
Une latéralisation cérébrale totalement atypique
Sur le plan théorique, ce cas suggère que la latéralisation fonctionnelle du cerveau peut être plus flexible qu’on ne le pense. Un vaste infarctus de l’hémisphère gauche peut, dans de très rares situations, ne pas provoquer les déficits auxquels on s’attend.
Il faut savoir que chez une minorité non négligeable de droitiers (environ 7,5 %), l’hémisphère droit est dominant pour le langage. Cette femme, aujourd’hui âgée de 53 ans, appartient à cette minorité, mais présente en plus une concentration inhabituelle d’autres fonctions cérébrales du même côté, sans conséquence clinique visible.
Sur le plan clinique, cette organisation totalement atypique explique l’absence de troubles déficitaires que l’on aurait normalement observés après un AVC aussi massif. Son cerveau n’est tout simplement pas organisé comme celui de la majorité des gens.
Autrement dit, le cerveau humain n’adopte pas chez tous les individus le même schéma organisationnel. Certaines fonctions peuvent dépendre de zones situées du côté opposé à celui attendu. Le cerveau peut donc présenter une organisation fonctionnelle hors norme, sans perte de performance.
Tout cela serait resté totalement inaperçu si cette femme n’avait pas subi un accident vasculaire cérébral de grande ampleur. C’est précisément cette latéralisation cérébrale totalement atypique, présente bien avant son AVC, qui lui a permis de conserver ses capacités langagières.
Pour en savoir plus :
Chang EHT, Turkeltaub PE, Seydell-Greenwald A. When a Large Left Hemisphere Stroke is All Right for Language, Praxis, and Visual Attention. A Case Report. Neurology. 2025 ; 1 : e000053. doi : 10.1212/WN9.0000000000000053
Kim TH, Yoon MK, Choi SG, Kim JS, Choi JL. Patient With Crossed Aphasia Undergoing Long-Term Speech Therapy : A Case Report. Brain Neurorehabil. 2023 Sep 20 ; 16 (3) : e23. doi :
10.12786/bn.2023.16.e23
Coppens P, Hungerford S, Yamaguchi S, Yamadori A. Crossed aphasia : an analysis of the symptoms, their frequency, and a comparison with left-hemisphere aphasia symptomatology. Brain Lang. 2002 Dec ; 83 (3) : 425-63. doi : 10.1016/s0093-934x (02) 00510-2
Knecht S, Dräger B, Deppe M, et. Handedness and hemispheric language dominance in healthy humans. Brain. 2000 Dec ; 123 Pt 12 : 2512-8. doi : 10.1093/brain/123.12.2512
Selnes OA, Pestronk A, Hart J, Gordon B. Limb apraxia without aphasia from a left sided lesion in a right handed patient. J Neurol Neurosurg Psychiatry. 1991 Aug ; 54 (8) : 734-7. doi : 10.1136/jnnp.54.8.734

